

UM POUCO SOBRE
Nossos Tratamentos
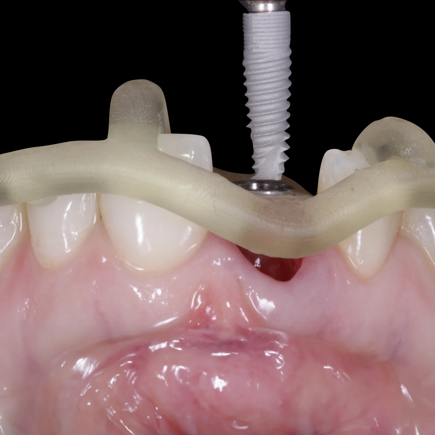
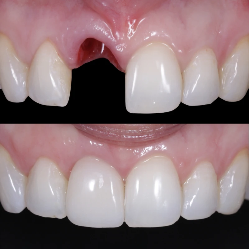
REABILITAÇÕES ESTÉTICAS
Melhora da harmonia do sorriso através de lentes de contato dental em cerâmicas e também restaurações em resina composta.

CIRURGIAS PLÁSTICAS GENGIVAIS
Enxertos gengivais ao redor de dentes e implantes / aumento de coroa clínica para tratamentos de sorriso gengival e/ou desalinhamento das margens.

TRATAMENTO PERIODONTAL
Terapias de descontaminação periodontal para regressão das doenças gengivais. Gengivite, periodontite e peri-implantite.

UM POUCO SOBRE
Nossa Clínica
Somos movidos pela confiança de nossos pacientes para aprimorar seus sorrisos. Nossa filosofia é baseada em cuidar dos pacientes com comprometimento e responsabilidade dentro de uma Odontologia que respeita os princípios humanos e biológicos. Nosso método envolve técnicas contemporâneas e tecnológicas para otimizar resultados com segurança e previsibilidade.


-
Cirurgião Dentista (UNIP)
-
Especialista
- Cirurgia
- Traumatologia Bucomaxilofacial
-
Pós Graduado em Implantodontia e Cirurgia Plástica Periodontal e Periimplantar
-
Fellowship Internacional com Eric Van Dooren
- Implantes (Antuérpia)
- Cirurgia Periodontal (Bélgica)
GUTO GIORDANI

ANDRÉA
Cirurgiã dentista graduada pela Universidade Paulista - UNIP
Especialista em Dentistica Restauradora
GIORDANI
CAROLINA
Cirurgiã dentista graduada pelo Centro Universitário da Serra Gaúcha - FSG
Especialista em Periodontia e Implantodontia.
MARTINI

NATALIA
Auxiliar de Saúde Bucal pela APCD Saúde
SOUSA

MANUELA
Gestora Financeira pelo Anhembi Morumbi
DA SILVA



